English
全部
搜索
图片
视频
短视频
地图
资讯
更多
购物
航班
旅游
笔记本
报告不当内容
请选择下列任一选项。
无关
低俗内容
成人
儿童性侵犯
时长
全部
短(小于 5 分钟)
中(5-20 分钟)
长(大于 20 分钟)
日期
全部
过去 24 小时
过去一周
过去一个月
去年
清晰度
全部
低于 360p
360p 或更高
480p 或更高
720p 或更高
1080p 或更高
源
全部
Dailymotion
Vimeo
Metacafe
Hulu
VEVO
Myspace
MTV
CBS
Fox
CNN
MSN
价格
全部
免费
付费
清除筛选条件
安全搜索:
中等
严格
中等(默认)
关闭
筛选器
1:15
TikTok
mympejourney
The first fertility injection 💉 (no trigger warning don’t worry!) The lovely nurse talked me through exactly how to load up the injection and how to self-administer. I was quite
Beth Spinal Recovery(@mympejourney). Reflection on Peace - Adauto Assis. The first fertility injection 💉(no trigger warning don’t worry!) The lovely nurse talked me through exactly how to load up the injection and how to self-administer. I was quite apprehensive about doing this but as you can see in the video, it is absolutely fine!! Day ...
已浏览 391 次
2 个月之前
IVF Success Stories
10:13
Our IVF Success Story: Trust, Patience, and Parenthood | Dr. Pallavi Tiple | Femcare Fertility
YouTube
Femcare Fertility
已浏览 31.6万 次
2024年10月1日
15 Celebrities Who've Bravely Shared Their IVF Journeys
cafemom.com
2022年2月22日
0:33
During IVF, each day couples move one step closer to achieving their parenthood dream
YouTube
Indira IVF
已浏览 1148万 次
2023年4月3日
热门视频
0:22
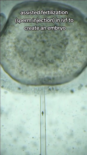
sperm injection or icsi revolutionized ivf to overcome human infertility #ivf #infertility #ttc #icsi #foryour #yourpage #xyzbca video cred sk_beats_editor
TikTok
stevenpaltermd
已浏览 1640万 次
2023年10月30日
0:27
medical_animation on Instagram: "Fertilization and Implantation This section of the fallopian tube is where the sperm fuses with the egg. Once fertilized, the egg begins a rapid journey toward the uterus. The stages of fertilization can be divided into four key processes: 1. Sperm preparation 2. Recognition and binding between sperm and egg 3. Fusion of the sperm with the egg 4. Fusion of their pronuclei and activation of the zygote Source: Animation by @design_cells #developmentbiology #embryol
Instagram
medico_animations
已浏览 4.2万 次
4 个月之前
14:43
PAINFUL FERTILITY PROCEDURES
YouTube
Channon Rose Vlogs
已浏览 18万 次
2017年6月28日
IUI Procedure
0:28
How is the IUI Procedure Done? | Step-by-Step Guide by Dr. Priya Meel 🤰💙"Intrauterine Insemination (IUI) is a simple and effective fertility treatment that helps couples struggling with conception. In this video, Dr. Priya Meel explains the IUI procedure step-by-step, from preparation to post-care, helping you understand how it works and what to expect.💡 What You’ll Learn in This Video:✔️ What is IUI, and who can benefit from it?✔️ Step-by-step breakdown of the procedure✔️ How sperm is prepar
Facebook
DrPriya Meel
已浏览 945 次
2025年2月4日
0:15
IUI - Intrauterine insemination
YouTube
Dr Aradhya Achuri
已浏览 2738 次
11 个月之前
1:16
Understanding the IUI Procedure: A Step-by-Step Guide 🩺✨
YouTube
sriankura fertilitycenter
已浏览 23 次
3 个月之前
0:22
sperm injection or icsi revolutionized ivf to overcome hu
…
已浏览 1640万 次
2023年10月30日
TikTok
stevenpaltermd
0:27
medical_animation on Instagram: "Fertilization and Implantation Thi
…
已浏览 4.2万 次
4 个月之前
Instagram
medico_animations
14:43
PAINFUL FERTILITY PROCEDURES
已浏览 18万 次
2017年6月28日
YouTube
Channon Rose Vlogs
3:09
Clexane - How to use!
已浏览 86.4万 次
2018年5月8日
YouTube
Vitalab Fertility Clinic - Sandton and Umhlanga
4:57
GCSE Biology Revision "Contraception"
已浏览 34.2万 次
2018年4月19日
YouTube
Freesciencelessons
6:28
Saline Infusion Sonohysterography (SIS) VIDEO
已浏览 5.6万 次
2015年3月14日
YouTube
Malcolm
2:26
Stimulation Phase of IVF
已浏览 2.3万 次
2018年6月13日
YouTube
City Fertility
0:57
ICSI Procedure Explained | Science at Boston IVF
已浏览 2.8万 次
2018年1月9日
YouTube
Boston IVF
10:21
Exclusive: Inside the IVF Lab
已浏览 144万 次
2009年2月12日
YouTube
RMA of New York
5:36
Ovidrel® PreFilled Syringe Injection Instructions
已浏览 7.3万 次
2017年4月6日
YouTube
Procreate Fertility Center of Virginia
4:52
How To Inject Cetrotide® | Fertility Treatment | CVS Specialty®
已浏览 30.6万 次
2019年10月8日
YouTube
CVS Health
6:29
How To Inject Omnitrope® | Fertility Treatment | CVS Specialty®
已浏览 22万 次
2019年10月8日
YouTube
CVS Health
3:10
How To Inject Ovidrel® | Fertility Treatment | CVS Specialty®
已浏览 38.1万 次
2019年10月8日
YouTube
CVS Health
1:16
CARE Fertility - Clexane Injection Teach - Diana Baranowski
已浏览 15.7万 次
2020年4月21日
YouTube
Care Fertility
1:22
CARE Fertility - Inhixa Injection Teach - Diana Baranowski
已浏览 6.3万 次
2020年4月21日
YouTube
Care Fertility
14:34
IVF procedure baby #2 (Saline Infusion Sonohysterogram)
已浏览 19.3万 次
2020年5月9日
YouTube
Channon Rose Vlogs
16:03
EMBRYO TRANSFER DAY!! + Progesterone in Oil Injection Expe
…
已浏览 539万 次
2019年9月11日
YouTube
DulceCandy
3:18
3D animation of how IVF works
已浏览 1275.8万 次
2009年5月4日
YouTube
Patreskovic
2:39
3D animation of how IUI works
已浏览 703.7万 次
2009年5月4日
YouTube
Patreskovic
5:46
How To Inject Low-Dose hCG | Fertility Treatment | CVS Specialty®
已浏览 5.6万 次
2019年10月8日
YouTube
CVS Health
5:24
Novarel HCG Injection Instructions during IVF Cycle
已浏览 16.1万 次
2015年12月10日
YouTube
Aspire Fertility Centers
4:36
How To Inject Lupron® 14 Day Kit (Leuprolide Acetate) | Fertility Tre
…
已浏览 19.8万 次
2019年10月8日
YouTube
CVS Health
2:07
IVF Explained: How the egg retrieval process works
已浏览 38.2万 次
2019年6月5日
YouTube
Spring Fertility
5:17
How To Inject Leuprolide Acetate Trigger | Fertility Treatment | CVS
…
已浏览 15万 次
2019年10月8日
YouTube
CVS Health
5:26
Nurse Linda IVF Medication Injections - Intramuscular Injection
已浏览 721.9万 次
2012年3月14日
YouTube
Sher Fertility Solutions
2:03
How many injections do you need for IVF? - Dr. Mangala Devi KR
已浏览 17.4万 次
2019年11月5日
YouTube
Doctors' Circle World's Largest Health Platform
8:52
IUI - Fertility expert secrets for maximum pregnancy rates
已浏览 91.5万 次
2020年8月27日
YouTube
Infertility TV with Dr. Randy Morris M.D.
6:25
How To Inject Novarel® 5,000 IU Intramuscularly | Fertility Treatme
…
已浏览 24万 次
2019年10月8日
YouTube
CVS Health
6:01
How To Inject Novarel® 5,000 IU Subcutaneously | Fertility Treatme
…
已浏览 4.4万 次
2019年10月8日
YouTube
CVS Health
观看更多视频
更多类似内容
反馈